- Cart 0The latest additions
0 items in total
Subtotal $0.00
- EnglishChinese
- Cart 0The latest additions
0 items in total
Subtotal $0.00
- EnglishChinese
Rabbit anti-HMGB1 Polyclonal Antibody

















- Datasheet
- Collect
Share:
Request bulk quotation- Product Details
- FAQ
- Pictures
- Documents
- Publication date
- Impact factor
Product Album
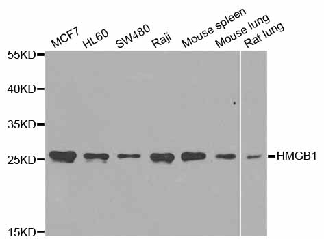
Western blot analysis of extracts of various cell lines, using HMGB1 antibody (abs116144) at 1:1000 dilution. Secondary antibody: HRP Goat Anti-Rabbit IgG (H+L) at 1:10000 dilution. Lysates/proteins: 25ug per lane. Blocking buffer: 3% nonfat dry milk in TBST. Detection: ECL Basic Kit . Exposure time: 90s.
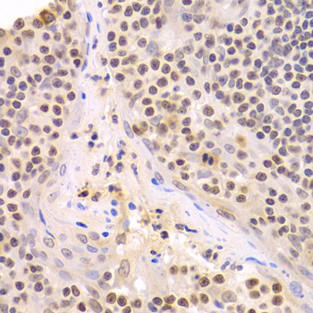
Immunohistochemistry of paraffin-embedded human amygdalitis using HMGB1 antibody (abs116144) at dilution of 1:100 (40x lens).
Immunohistochemistry of paraffin-embedded human stomach using HMGB1 antibody (abs116144) at dilution of 1:100 (40x lens).
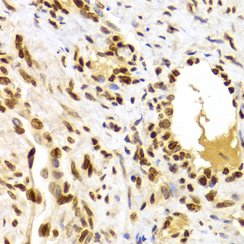
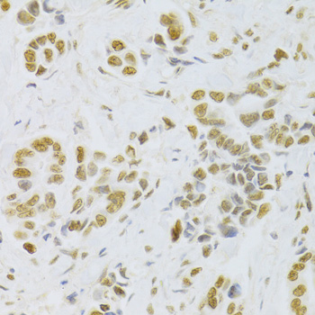
Immunohistochemistry of paraffin-embedded human breast cancer using HMGB1 antibody (abs116144) at dilution of 1:100 (40x lens).
Immunohistochemistry of paraffin-embedded human adenomyosis using HMGB1 antibody (abs116144) at dilution of 1:100 (40x lens).
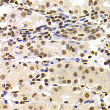
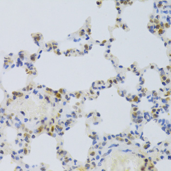
Immunohistochemistry of paraffin-embedded rat lung using HMGB1 antibody (abs116144) at dilution of 1:100 (40x lens).
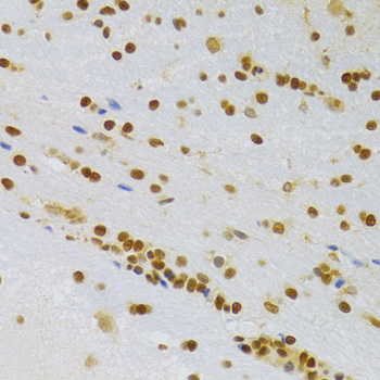
Immunohistochemistry of paraffin-embedded rat brain using HMGB1 antibody (abs116144) at dilution of 1:100 (40x lens).
Immunohistochemistry of paraffin-embedded human breast cancer using HMGB1 antibody (abs116144) at dilution of 1:100 (40x lens).
Immunohistochemistry of paraffin-embedded human stomach using HMGB1 antibody (abs116144) at dilution of 1:100 (40x lens).
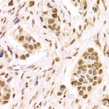
Immunohistochemistry of paraffin-embedded human gastric cancer using HMGB1 antibody (abs116144) at dilution of 1:100 (40x lens).
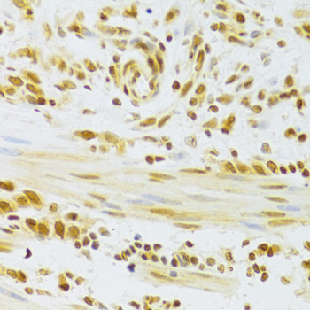
Immunohistochemistry of paraffin-embedded human leiomyoma of uterus using HMGB1 antibody (abs116144) at dilution of 1:100 (40x lens).
Immunohistochemistry of paraffin-embedded human adenomyosis using HMGB1 antibody (abs116144) at dilution of 1:100 (40x lens).
Immunohistochemistry of paraffin-embedded mouse lung using HMGB1 antibody (abs116144) at dilution of 1:100 (40x lens).
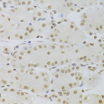
Immunohistochemistry of paraffin-embedded mouse liver using HMGB1 antibody (abs116144) at dilution of 1:100 (40x lens).
Immunohistochemistry of paraffin-embedded mouse brain using HMGB1 antibody (abs116144) at dilution of 1:100 (40x lens).
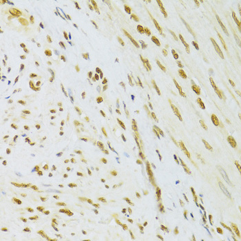
Immunohistochemistry of paraffin-embedded mouse heart using HMGB1 antibody (abs116144) at dilution of 1:100 (40x lens).
Immunofluorescence analysis of HeLa cells using HMGB1 antibody at dilution of 1:100 (40x lens). Blue: DAPI for nuclear staining.
- The batch number you entered does not exist. Please input the correct batch number information
- Datasheet product specification